English
Mais
Revista
Formação
Assinatura
Classificados
Newsletter
Contactos
Prémios
Categorias
Análise
Atualidade
Caso Clínico
Conteúdo patrocinado
DentalNEXT
Destaque
Direito Resposta
Edições
Efemérides
Empresas
Entrevistas
Equipamentos
Especialidades
Eventos
Formação
Investigação
Livros
Medicina dentária
Opinião
Prémios
Prémios DentalPro
Projetos
Prótese
Publicações
Reportagem
Revista
Tecnologia
Páginas
Contactos
Estatuto editorial
Newsletter
Política de cookies
Política de privacidade
Quem é Quem
Ranking Facebook
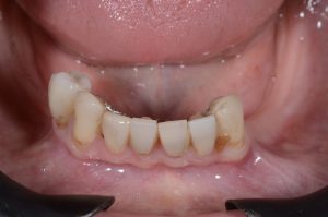
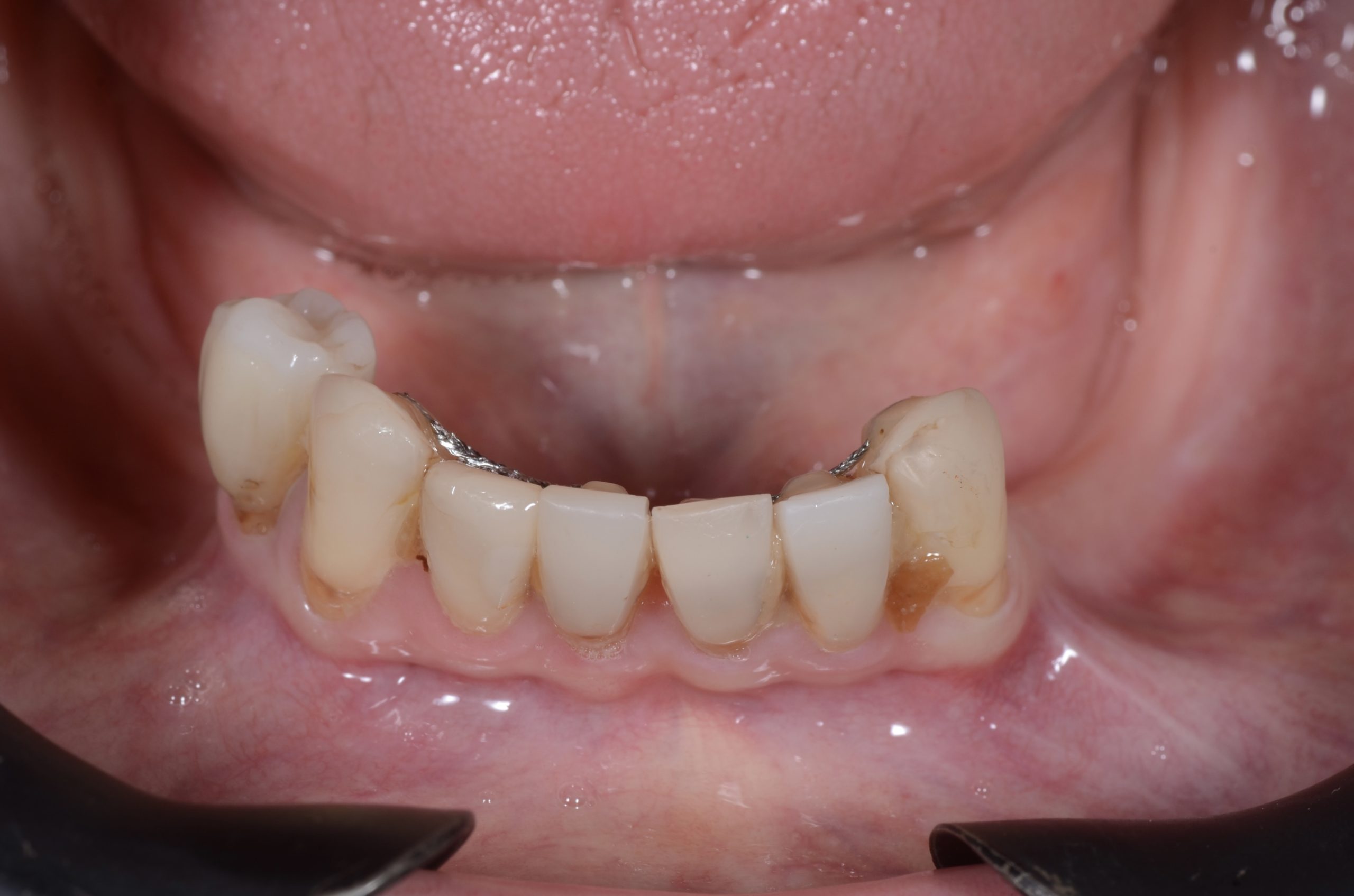
FIG 1
13 Abril, 2026
←
Anterior
Veja aqui as edições anteriores
Quem é Quem 2026
Subscrever a
newsletter
×